השתלת שיניים שנכשלה היא אחד הפחדים הגדולים ביותר של מטופלים הניגשים לבצע השתלת שיניים.
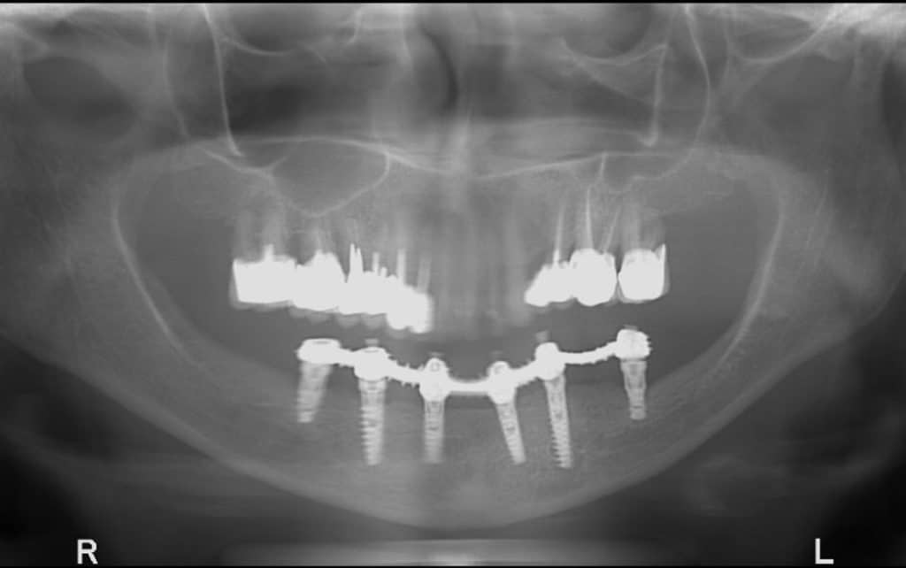
השתלת שיניים שנכשלה לסת תחתונה
במהלך השתלת השיניים הסטנדרטית רופא השיניים מעגן אל עצמות הלסת שלנו שתלים דנטליים. אלו למעשה הברגות מתכתיות אל תוך עצם הלסת, שעליהן יושב גשר דנטלי המחזיק את מערכת הכתרים, המחליפה את מערכת השיניים שלנו.
לאחר שעוגנו, השתלים הדנטליים עוברים מעצם הלסת דרך החניכיים והחוצה אל הגשר היושב בחלל הפה.
המעבר דרך רקמת החניכיים שלנו שהיא רקמה עדינה יחסית, הוא קריטי. כיוון שבמידה והשתלים הדנטליים פוצעים את רקמת החניכיים, יוצרים בה גירוי או אפילו במידה ונוצרת חשיפה קטנה של חלק מהשתל הדנטלי החוצה אל חלל הפה עלולה להתפתח עם הזמן דלקת חניכיים כרונית שתלך ותחמיר ופשוט תביא לדחיית השתל.
כמובן שדלקת חניכיים כזו יוצרת אי נוחות הולכת וגדלה אצל המטופל שמתבטאת באדמומיות ובנפיחות בחניכיים באזור מעבר השתל.
יש מספר סימנים שבדרך כלל מהווים סימנים מקדימים שעלולים להעיד על כישלון של ההשתלה:
חשוב לדעת שזיהוי של הכישלון חייב להתבצע על ידי רופא השיניים המטפל ולכן, כדאי לגשת למרפאה אם אחד או יותר מהסימנים מופיעים ולעבור אבחון מדוקדק שכולל צילום פנורמי וסריקה של חלל הפה.
בגלל שברגע שנגרמת דחייה של השתלים הדנטליים אי אפשר להמשיך בתפקוד יומיומי יש בעיקרון שלושה שלבי טיפול שככל שהם מבוצעים מהר יותר כך נחסכים למטופל כאבים וסבל רבים וכך גם הסיכוי להתגברות על הכישלון גבוה יותר:
השלב הראשון הוא שלב של בלימת הדלקת בחניכיים – לשם כך בדרך כלל מספקים רופאי השיניים טיפול אנטיביוטי שמטרתו היא טיפול בזיהומים מקומיים, הורדת הנפיחות והקטנה משמעותית של הדלקת.
אך לא די בטיפול אנטיביוטי, כיוון שהטיפול האנטיביוטי רק מקטין את הדלקת אבל לא מטפל בגורם שלה והוא השתל הדנטלי.
השלב השני הוא שלב של האבחון – רופא השיניים חייב לאבחן את הגורמים לכישלון על מנת להימנע מכישלון נוסף בהמשך. הוא עושה זאת ע"י הדמית CT עדכנית שמלווה כמובן בבדיקה פיזית שלו בחלל הפה.
השלב השלישי הוא ביצוע השתלת שיניים חדשה – כאשר נוצר כישלון של השתלות שיניים עדיף בדרך כלל לא לבצע ניסיונות תיקון על ההשתלה הקיימת כיוון שהיכולת לשנות את האינטראקציה של החניכיים הפגועים עם השתל הדנטלי, שיכול להיות שמוקם לא טוב מבסיסו הוא נמוך מאוד. לכן, העדיפות היא לבנות תכנית טיפול חדשה ללסת שבה נכשלה ההשתלה ולבצע מחדש השתלת שיניים, על מנת להבטיח השתלה מוצלחת ולהימנע מטיפולים ו"תיקונים" חוזרים ונשנים של השתלה שאינה מוצלחת מבסיסה ולחסוך למטופל חודשים ושנים של טרטור ואי נוחות.
התשובה לשאלה הזו היא לא. לא ניתן להבטיח 100% הצלחה בביצוע השתלות שיניים אבל כן ניתן להקטין למינימום האפשרי את הסיכון לכישלון:
שימוש בשתלים דנטליים מתקדמים – כיום קיים מגוון רחב של שתלים דנטליים שנועדו להקטין את הסיכון לכישלון (לקריאה על שתלים קורטיקליים ייעודיים שפותחו ע"י ד"ר בלן לחצו כאן >>).
ביצוע השתלות שיניים – במקרים מורכבים יחסית שבהם קיים חשש גדול לסיבוכים ישנה עדיפות לביצוע של השתלת שיניים שבה נמנעים ממספר גדול יחסית של טיפולים כירורגיים ומבצעים את כל הליך ההשתלה בפרוצדורה אחת.
פניה לרופאי שיניים מנוסים בתחום השתלות השיניים – בסופו של דבר אין תחליף לניסיון של רופא השיניים המטפל וליכולת שלו לחזות קשיים וסיבוכים מראש ולבנות תכנית טיפולים חכמה לכל מטופל. כמובן שהרמה הטכנית של ביצוע ההשתלה ובמיקום של כל שתל הוא מרכיב מרכזי בהצלחה שלה.
אם תיכננת לבצע השתלת שיניים בצפון, או אם השתלת השיניים שלך נכשלה והיית רוצה לבצע השתלת שיניים חדשה. אנחנו כאן