שתלים דנטליים בניגוד לשיניים תותבות, שהן למעשה מערכת שיניים חלופית שיושבת בצורה ארעית על רקמת החניכיים, נועדו לחבר בצורה קבועה ויציבה את מערכת השיניים החדשה ישירות אל עצמות הלסת ממש כמו מערכת השיניים הטבעית שלנו.
לצורך כך, תהליך ההשתלה מתחיל משלב של עיגון פיזי של אותם שתלים אל הלסת.
זו גם הסיבה שמרבית השתלים הדנטליים הם בעלי תבריג המאפשר לרופא השיניים להבריג אותם אל עצם הלסת.
השתלים צריכים להיות חזקים ויציבים מאחר והם נושאים עליהם גשר שאליו מחוברים הכתרים הדנטליים, שהם למעשה השיניים החדשות.
שתל דנטלי איכותי חייב להיות חזק על מנת לעמוד בלחצים יומיומיים גדולים הקיימים בלסת ובמקביל לא לגרום לגירוי או פגיעה ברקמת החניכיים.
פגיעה כזו עלולה לגרום להתפתחותה של דלקת חניכיים חריפה שהיא הגורם המרכזי המביא בסופו של דבר לכישלון של השתלת השיניים.
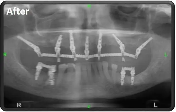
בניגוד לעבר, כשלאורך שנים התפישה הטיפולית הייתה שבמקום כל שן חסרה יש צורך למקם שתל דנטלי בדיוק במקום שבו היו ממוקמים שורשי השן, גישת ההעמסה המיידית שעליה מבוססת היכולת לבצע השתלות שיניים שינתה לחלוטין את התפישה הזו והראתה שמיקום נכון של שתלים דנטליים איכותיים מאפשר לרופא השיניים להסתפק בשישה ואפילו בארבעה שתלים בלבד (all on 4) ללסת שלמה.
על פי התפישה החדשה הוכח מעל לכל ספק שהצורך הראשון במעלה הוא החיבור החזק והיציב של השתל הדנטלי אל הלסת.
לכן, פותחו שתלים שונים שמאפשרים לבצע חיבור אל עצמות הלסת גם בזוויות שיכולות להגיע עד ל-45 מעלות ומטרתן היא ליצור את העיגון הטוב ביותר בנקודה ובזווית הנכונים שבהם עצם הלסת היא העבה, החזקה והיציבה ביותר.
יש מגוון רחב של שתלים מסוגים ומגדלים שונים וניתן בצורה גסה לחלק אותם על פי הקטגוריות הבאות:
שתלים אלו נועדו לשמש בטיפולי השתלות שיניים של לסת מלאה, בין אם מדובר בלסת עליונה או בלסת תחתונה.
בשתלים כאלו נעזרים במקרים שבהם מצב הלסת טוב יחסית ויש מספיק עצם בלסתות כדי לחבר אליה ישירות את השתלים בהברגה.
רופאי השיניים עושים שימוש בשתלים קלאסיים המחולקים לשני סוגים עיקריים:
צורת החיבור של השתלים הללו היא לרוב בהברגה אנכית והם דומים מאוד בפעולתם לדרך העיגון של השיניים הטבעיות.

בעבר, אלה למעשה היו הפתרונות היחידים בתחום השתלות השיניים, ומטופלים אשר סבלו ממצבים של חוסר עצם בלסת, שנגרם מבעיות רפואיות שונות, או משימוש ממושך בשיניים תותבות, נחשבו ל”מסורבי טיפול”, וכדי לבצע השתלות שיניים הם נדרשו לבצע תהליכים כירורגיים מסובכים ויקרים כמו השתלת עצם בלסת.
עם התקדמות הטכנולוגיה, ובנסיון לתת מענה יעיל למצבים אלה, פותחו סוגים חדשים של שתלים לביצוע השתלות שיניים:
שתלים קורטיקליים הם למעשה שתלים ייעודיים לביצוע של השתלות שיניים בשיטה של העמסה מיידית.
יש להם חלק תחתון של הברגה אל העצם הקורטיקלית (עצם הלסת) וחלק עליון שיכול להתחבר במגוון רחב של זוויות אל הגשר שעליו ממוקמים הכתרים.
החידוש הגדול כיום בשתלים כאלו הוא ראש חלק לשתל.
מטרתו של הראש החלק היא למנוע חיכוך עם רקמת החניכיים ובכך להקטין משמעותית את הסיכוי להתפתחות של דלקת חניכיים, שעלולה להביא בסופו של דבר לכישלון ההשתלה.
שתלים ישנים יותר מצוידים בתבריג גם בחלק של הראש והחיכוך בין אזור ההברגה לרקמת החניכיים, בעיקר באזורים בהם רקמת החניכיים דקה גרם לעיתים להתפתחותן של דלקות ולחשיפה של השתל החוצה.
את השתלים הקורטיקליים ניתן להשתיל בזוויות לא ישרות שמגיעות עד ל-45 מעלות. למידע נוסף על שתלים קורטיקליים

שתלים זיגומטיים אלו הם שתלים ייעודיים שמטרתם היא לאפשר ביצוע השתלות שיניים במקרים קיצונים שבהם יש בעיות קשות של מחסור בעצם הלסת העליונה.
כאשר יש מצב של חוסר עצם בלסת העליונה חסרה נקודת עיגון יציבה לשתלים.
הפתרון שהיו משתמשים בו בעבר בחלק מהמקרים הוא טיפול כואב וארוך מאוד הקרוי הרמת סינוס.
בטיפול זה היו חודרים אל רצפת הסינוסים הממוקמים מעל ללסת העליונה וממקמים מתחת לרירית הסינוס אבקת עצם טבעית או מלאכותית ולאחר מכן היו מחכים חודשים ארוכים להתגרמות האזור ולעיבוי העצם.
פיתוחם של השתלים הזיגומטיים איפשר לראשונה לבצע גם במקרים כאלו שיקום פה מלא .
השתלים הזיגומטיים ארוכים יותר משתלים רגילים והם מאפשרים לעקוף את האזורים של חוסר העצם בלסת ולעגן אותם ישירות לעצם הלחי, או בשמה המקצועי עצם הזיגומה שהקנתה לשתלים אלו את שמם.
הטכניקה של השתלת השתלים הזיגומטיים לא פשוטה ויש רופאים ספורים בישראל שיודעים לבצע אותה ברמה גבוהה.
היתרון הגדול של שתלים אלו הוא ששימוש בהם מאפשר להימנע מטיפולים כואבים וארוכים ל”הכנת המטופל לטיפול” של הרמות סינוס והשלמות עצם.

שתלים ללא הברגה שנועדו לסייע במענה לחוסר עצם בלסתות העליונה והתחתונה.
השתלים האלו הם בעלי ראש בצורת דיסק והם מחוברים ללסת דרך צידי החניכיים באזורים שבהם חסרה עצם הלסת.
בניגוד לשתלים זיגומטיים שתלי הדיסק אינם יכולים להחזיק לבד את הגשר אלא הם מצריכים מיקום של עוד שתלים רגילים באזורים שבהם יש צפיפות עצם גבוהה מספיק לעיגון שלהם.

שתלים אלו נועדו להוות בסיס לטיפול ביניים הקרוי “תותבות על גבי שתלים” או בשמם הפופולרי “תותבות על תיקתקים".
אל הראש הכדורי של השתלים מתחברת מערכת של שיניים תותבות שניתן לנתק ולחבר מחדש עם רמת יציבות גבוהה ביחס לשיניים תותבות רגילות שמתבססות על יציבות על רקמת החניכיים וכך שוחקות ופוגעות בה.
למרות מחירו הזול יחסית, הפתרון הדנטלי של “תותבות על תיקתקים” הוא לא מומלץ, מפני שהוא מספק מערכת שיניים לא יציבה ורחוקה מלהרגיש טבעית.
מחיר הטיפול מתקרב למחיר של השתלת שיניים קבועה, ולכן רק במקרים מאוד מסוימים כדאי לאמץ את שיטת ה ”תותבות על תיקתקים”.
שתלים קצרים ועבים יותר שנועדו לסייע בפתרון למקרים שבהם יש רוחב מספיק לעצם הלסת אבל קיים חוסר בעובי של העצם ונוצר מצב שבו חייבים לבצע עיבוי מלאכותי של העצם.
השתלים האלו יכולים להיות בעובי שונה בהתאם למצב עצם הלסת של המטופל והם מגיעים באורכים הקטנים מ-8 מ”מ.
שתל כזה לא נועד לשאת עליו גשר שעליו יושבת מערכת שיניים מלאה אלא הוא מקובע באופן פרטני ללסת במקרים של מחסור בשן אחת ומחובר ישירות לכתר שמהווה את השן החדשה של המטופל.
מטופלים רבים שמעוניינים לבצע השתלת שיניים בוחנים את ההצעות ואת תכניות הטיפול שהם מקבלים בעיקר על פי השורה התחתונה – כמה עולה השתלת שיניים.
אבל חשוב להבין שסוגי השתלים הדנטליים שבהם נעשה שימוש משפיעים באופן ישיר על עלות הטיפול.
שתלים זולים עלולים בסופו של דבר לעלות ביוקר כשהם יוצרים דלקות ברקמת החניכיים או במקרי קיצון אפילו נשברים וגורמים לכישלון של ההשתלה מיד אחרי הטיפול או זמן לא רב אחריו.
שתלים איכותיים ובטח שתלים ייעודיים כמו שתלים זיגומטיים אמנם עולים יותר אך הם חוסכים סבל רב למטופל מטיפולים משלימים ומחזיקים מעמד שנים ארוכות.
אם חיפשת השתלת שיניים בצפון תוך שימוש בשתלים המתקדמים ביותר. אנחנו כאן