Даже в сложных случаях: имплантация зубов за один день.
Наша стоматологическая клиника в Иерусалиме является одной из трёх клиник доктора Балана, разбросанных по всей стране. Две другие – Тель-Авивская клиника имплантации и наша флагманская клиника в Кирьят-Яме. Как и во всех остальных наших клиниках, в клинике доктора Балана в Иерусалиме также проводятся имплантации зубов за один день, причём даже в наиболее сложных ситуациях.
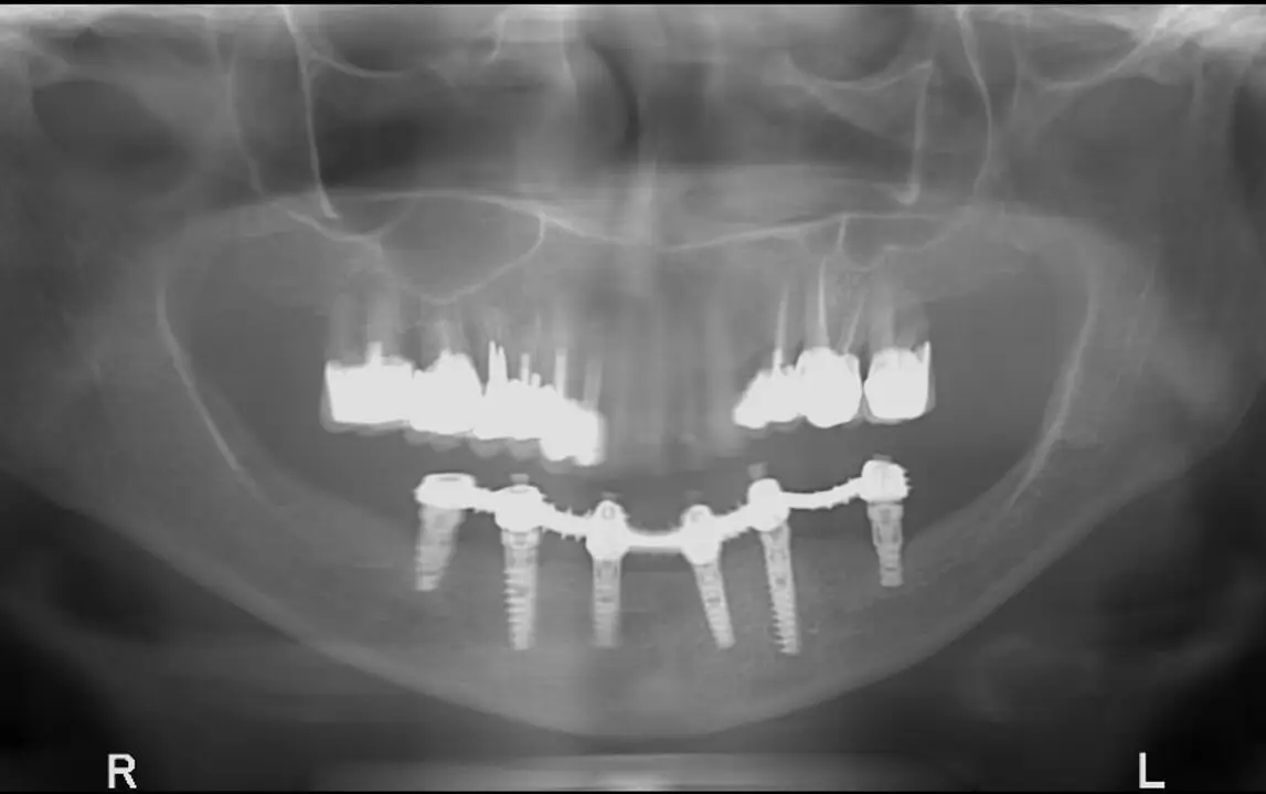
Помимо прочих услуг, клиника предоставляет пациентам следующие виды операций:
• Имплантация в верхней, нижней или обеих челюстях.
• Скуловая имплантация в условиях отсутствия кости нижней челюсти.
• Базальная имплантация при отсутствии кости верхней челюсти.
• Повторная имплантация в случаях неудачи предыдущей имплантации.
Помимо прочих услуг, клиника предоставляет пациентам следующие виды операций:
• Имплантация в верхней, нижней или обеих челюстях.
• Скуловая имплантация в условиях отсутствия кости нижней челюсти.
• Базальная имплантация при отсутствии кости верхней челюсти.
• Повторная имплантация в случаях неудачи предыдущей имплантации.






