fbpx

Зубные имплантаты — полное руководство

Зубные имплантаты — полное руководство

Зубные имплантаты — полное руководство

Зубные имплантаты — полное руководство:

Зубные имплантаты и качество их соединения с челюстью являются ключом к успеху любой имплантации зубов в ближней и долгосрочной перспективе.

В отличие от зубных протезов, которые на самом деле являются альтернативной зубной системой,

временно сидящей на ткане десны, процедура имплантации зубов используется для подключения новой зубной системы непосредственно к челюстной кости,

как и наши естественные зубы.


Фактически, можно сказать что зубные имплантаты заменяют наши естественные зубы,

функция которых заключается в создании стабильного соединения зуба и челюсти.

Поэтому процесс имплантации начинается со стадии физического закрепления имплантатов к челюсти.

Это также является причиной того, что у большинства зубных имплантатов есть резьба, позволяющая стоматологу прикрутить их к челюстной кости.

Имплантаты должны быть прочными и стабильными, поскольку они держат мост,

к которому прикреплены зубные коронки, которые и являются новыми зубами.

Высококачественный зубной имплантат должен быть сильным,

чтобы выдерживать большие ежедневные стрессы в челюсти, не вызывая раздражения или повреждения ткани десны.

Такое повреждение может привести к развитию острого гингивита,

что в конечном итоге приводит к неудаче зубного имплантата.


Немедленная нагрузка меняет мир зубных имплантатов

В отличие от прошлого, когда на протяжении многих лет подход заключался в том, что, вместо любого отсутствующего зуба,

зубной имплантат должен был располагаться именно там,

где был расположен корень зуба. Подход немедленной нагрузки, основанный на способности выполнять зубные имплантаты за один день,

полностью изменил это восприятие и показал,

что правильное размещение высококачественных зубных имплантатов позволяет стоматологу использовать шесть или даже четыре имплантата (All on 4) на всю челюсть.

В соответствии с новым подходом было доказано,

что, в первую очередь, необходимо прочное и стабильное соединение зубного имплантата с челюстью.

Таким образом, были разработаны различные имплантаты,

которые могут присоединяться к костям челюсти под углами, достигающими 45 градусов,

целью которых является создание наилучшего крепления в правильной точке и под правильным углом,

где челюстная кость самая толстая, сильная и устойчивая.


Основные типы имплантатов, используемые сегодня

Существует множество различных имплантатов разных типов и размеров, которые можно условно разделить на следующие категории:

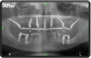
Классические имплантаты — зубные имплантаты, держащие мост

Эти имплантаты предназначены для использования в процедурах имплантации зубов всей челюсти,

будь то верхняя или нижняя челюсть.

Этими имплантатами пользуются в случаях, когда состояние челюсти относительно хорошее,

и в челюстях имеется достаточно кости для соединения имплантатов прикручиванием непосредственно к кости.

Стоматологи используют классические имплантаты, разделённые на два основных типа:

Конусные зубные имплантаты с V-образной прикруткой. Эти имплантаты предназначены для тех случаев, когда имеется пористая кость, например, у пациентов с остеопорозом.

Прямые зубные имплантаты с цилиндровой прикруткой — классическая форма имплантатов, используемых в большинстве случаев, когда нет никаких проблем с челюстью.

Эти имплантаты часто прикручиваются вертикально и очень похожи на то, как закрепляются естественные зубы.

Зубные имплантаты

Раньше это были единственные решения в области зубных имплантатов и зубных имплантатов за один день в частности, и пациенты,

у которых был недостаток челюстной кости,

вызванный различными медицинскими проблемами или длительным использование зубных протезов,

считались «отказанными в лечении» и, чтобы сделать имплантацию,

им приходилось проходить сложные и дорогостоящие хирургические процедуры,

такие как имплантация кости в челюсть.

По мере развития технологий и для обеспечения эффективного решения,

были разработаны новые типы имплантатов:


Кортиковые имплантаты с гладкой головкой — снижение риска неудачи имплантата

Кортикальные имплантаты фактически представляют собой имплантаты для выполнения имплантации зубов методом немедленной загрузки,

то есть имплантация зубов за один день.

Они имеют нижнюю часть винта для присоединения на кортикальную кость (кость челюсти) и верхнюю часть,

которая может соединяться широким диапазоном углов к мосту,

на котором расположены коронки. Большая новизна сегодня в этих имплантатах заключается в гладкой головке имплантата.

Целью гладкой головки является предотвращение трения с тканью десны,

что значительно снижает шансы на развитие гингивита, что может в конечном итоге привести к неудачной имплантации.

Старые имплантаты также снабжены резьбой в головке; и трение между областью резьбы и тканью десны,

особенно в областях, где тонкая ткань, иногда приводило к воспалению и оголению имплантата.

Кортикальные имплантаты могут быть имплантированы с неравномерными углами до 45 градусов.

Зубные имплантаты

Специализированные имплантаты для экстремальных случаев отсутствия челюстной кости — скуловые имплантаты

Скуловые имплантаты представляют собой специализированные имплантаты,

предназначенные для использования имплантации зубов в экстремальных случаях отсутствия верхней челюстной кости.

Когда существует недостаток кости, в верхней челюсти нет стабильной точки для закрепления имплантатов.

Решение, которое использовалось в прошлом в некоторых случаях — очень длинное и болезненное лечение,

называемое подъёмом синусов. Проникали в синусовый пол, расположенный над верхней челюстью,

и помещали естественный или искусственный костный порошок под синусовую слизь,

а затем ждали месяцами утолщения кости.

Развитие скуловых имплантатов позволило даже в таких случаях в первый раз выполнить полную реабилитацию в течение одного дня.

Скуловые имплантаты длиннее обычных имплантатов,

что позволяет обойти область отсутствия кости в челюсти и прикреплять их непосредственно к кости щеки или,

по профессиональному названию, к скуловой кости, которая и дала имплантатам их название.

Техника имплантации скуловых имплантатов не проста, и в Израиле мало врачей,

которые знают, как выполнять её на высоком уровне. Большим преимуществом этих имплантатов является то,

что их использование позволяет избежать болезненных и долгосрочных методов лечения,

«подготовки пациента к лечению» подъёма синуса и добавки костей.

שתל זיגומטי ארוך במקרה של חוסר עצם בלסת העליונה

Длинный скуловой имплантат при недостатке кости в верхней челюсти

Дисковые имплантаты

Невинтовые имплантаты, предназначенные для отсутствия кости в верхней и нижней челюстях. Эти имплантаты имеют дискообразную головку и прикреплены к челюсти по бокам дёсен в областях, где отсутствует челюстная кость. В отличие от скуловых имплантатов, дисковые имплантаты не могут удерживать мост сами по себе, а требуют размещения обычных имплантатов в областях, где плотность кости достаточно высока для того, чтобы их закрепить.

השתלת שיניים בזאלית

Имплантаты с круглой головкой

Эти имплантаты предназначены для того, чтобы обеспечить основу для промежуточного лечения «протез на имплантатах».

К сферической головке имплантатов присоединяется система протезных зубов, которые могут быть отсоединены и повторно подсоединены с высокой стабильностью относительно обычных протезов, которые опираются на ткань десны и таким образом разрушают и повреждают её.

Несмотря на относительно низкую цену, протез на имплантатах не рекомендуется, так как он обеспечивает неустойчивое и далёкое от естественного ощущение. Цена лечения близка к цене обычных зубных имплантатов, и поэтому только в очень определённых случаях целесообразно применить метод «протез на имплантатах».

Короткие зубные имплантаты

Короткие и более толстые имплантаты, предназначенные для случаев, когда ширина челюстной кости достаточна, но есть недостаток толщины кости и получается ситуация, когда нужно искусственно утолщать кость.

Эти имплантаты могут иметь разную толщину, в зависимости от челюстной кости пациента и производятся длиной не более 8 мм.

Зубной имплантат, предназначенный для одного зуба

Этот имплантат не предназначен для крепления моста, на котором расположена полная стоматологическая система, а специально закреплён на челюсти в случаях дефицита одного зуба и непосредственно связан с коронкой, которая образует новый зуб пациента.

שתל דנטלי ייעודי לשן אחת של חברת Noris Medical

Почему так важно знать о зубных имплантатах?

Многие пациенты, интересующиеся имплантацией зубов, смотрят в предложенных им планах лечения, в основном, на нижнюю строку: сколько стоит имплантация зубов.

Но важно понимать, что используемые типы зубных имплантатов напрямую влияют на стоимость лечения. Дешёвые имплантаты могут оказаться дорогостоящими, когда они создают инфекцию в ткани десны или, в крайних случаях, даже ломаются и вызывают неудачу имплантации сразу после процедуры или вскоре после неё. Имплантаты высокого качества и, конечно же, специализированные имплантаты, такие как скуловые имплантаты, дороже, но они спасают пациента от многих страданий от дополнительных процедур и сохраняются в течение многих лет.

Позвонить сейчас